Search

Search

The Effects of Acidic Foods on Teeth

Foods and drinks like citrus fruits, tomatoes, vinegar-based items, sodas, and sports drinks can erode the protective enamel that shields your teeth

How to Spot Early Signs of Gum Disease

Gum disease begins when plaque accumulates along the gumline, irritating the tissues and causing inflammation. Recognizing the early warning signs is the first step toward protecting your oral health.

Exploring New Technologies in Dental Diagnostics

Over the years, dental diagnostics have advanced tremendously, and today we are able to detect problems earlier, treat them more effectively, and even prevent them before they start

The Benefits of Regular Dental Checkups

Many dental issues, such as cavities, gum disease, and oral infections, develop silently and painlessly.

The Role of Community Outreach in Dental Health Promotion

It’s not just about treating dental issues — it’s about preventing them and helping people understand how important oral health is to overall well-being

How to Avoid Dental Plaque Buildup

Dental plaque is a sticky film of bacteria that forms on teeth and gums, often leading to cavities, gum disease, and bad breath if not properly managed. It develops when food particles and bacteria mix in the mouth, especially after consuming sugary or starchy foods

Understanding Dental Phobia and Effective Treatment Strategies

Dental phobia, or odontophobia, is an intense fear of dental procedures that affects millions of people worldwide. Unlike mild dental anxiety, which is common, dental phobia can lead to complete avoidance of dental care, resulting in deteriorating oral health and potential complications

The Role of Nutrition in Oral Health

Good nutrition plays a vital role in maintaining strong teeth and healthy gums. The foods you eat directly impact your oral health by either strengthening your teeth or contributing to decay. A well-balanced diet rich in essential vitamins and minerals helps prevent cavities, gum disease, and other dental issues.

Common Dental Problems in Day-to-Day Life

Maintaining good oral hygiene is essential to prevent common dental issues that can cause discomfort and serious health concerns

The Benefits of Interdisciplinary Care in Dentistry

In modern healthcare, a patient-centered approach often requires collaboration among multiple disciplines to achieve the best outcomes. Dentistry, once perceived as an isolated branch of healthcare, has increasingly embraced interdisciplinary care to enhance treatment quality and overall patient satisfaction

Understanding Tooth Sensitivity Treatments

Tooth sensitivity can cause discomfort and make eating or drinking hot, cold, sweet, or acidic foods a challenge. This condition often results from exposed dentin, worn enamel, or gum recession, which exposes nerve endings in the teeth

How to Achieve a Balanced Oral Care Routine

Achieving and maintaining a balanced oral care routine is essential for preserving your dental health and overall well-being

How to Handle Dental Fillings and Cavities

Cavities are one of the most common dental problems, but they are preventable and manageable with proper care. When left untreated, cavities can lead to tooth decay, pain, and infections. Dental fillings are an effective solution for repairing damaged teeth and restoring their functionality

Exploring the Impact of Oral Health on Speech Development

Oral health and speech development are intricately linked, as the condition of the mouth and teeth significantly influences the ability to speak clearly and effectively

The Role of Dental Care in Managing Autoimmune Diseases

Autoimmune diseases occur when the immune system mistakenly attacks the body's own tissues, leading to chronic inflammation and damage. Many autoimmune conditions, such as rheumatoid arthritis, lupus and Sjögren's syndrome, can significantly impact oral health

The Importance of Hydration for Oral Health

Staying hydrated is essential for overall well-being. Water is a natural cleanser for your mouth, helping to wash away food particles and reduce the growth of harmful bacteria

How to Prevent Bad Breath Naturally

Preventing bad breath naturally involves a combination of good oral hygiene practices and dietary habits that support fresh breath. Start with a consistent oral care routine, including brushing your teeth twice daily with fluoride toothpaste

Navigating the Challenges of Dental Care for Individuals with Disabilities

Dental care is a fundamental aspect of overall health, but for individuals with disabilities, accessing and receiving dental care can present unique challenges

The Connection Between Oral Health and Digestive Health

Oral health and digestive health are closely interconnected, with each affecting the other in several important ways. Proper oral hygiene is crucial for a healthy digestive system, as the mouth is the starting point of the digestive process

Understanding the Need for Dental Sealants

Dental sealants are a preventive measure designed to protect teeth from decay, particularly in children and adolescents

The Benefits of Comprehensive Dental Care Plans

Comprehensive dental care plans offer a holistic approach to oral health, covering a wide range of preventive, diagnostic and therapeutic services

The Benefits of Regular Dental X-Rays

Regular dental X-rays are an essential tool for maintaining optimal oral health and detecting issues that may not be visible during a routine examination

How to Maintain Oral Health During Medical Treatments

Maintaining oral health during medical treatments is crucial for overall well-being, as certain treatments can affect the mouth and teeth in various ways

How to Prevent Tooth Decay in Children

Preventing tooth decay in children is vital for their overall health and future dental well-being. Establishing a strong oral hygiene routine from an early age lays the foundation for good habits

The Importance of Early Orthodontic Evaluation

Orthodontic evaluations are an essential part of dental care, especially when performed early in childhood. These evaluations help detect and prevent potential dental issues before they become more complicated.

Tips for choosing a Pediatric Dentist

Choosing the right pediatric dentist is crucial for your child’s dental health and comfort. Start by asking for recommendations from your family doctor, friends, or online reviews to find a dentist with a strong reputation for working with children

Understanding the Different Types of Braces

Braces are a common orthodontic treatment used to correct misaligned teeth and jaws. There are several types of braces available, each with distinct features and benefits

How to Care for Your Oral Health as You Age

As you age, maintaining good oral health becomes increasingly important due to changes in your teeth, gums and overall health.

Healing after Tooth Extraction: Key Precautions to Ensure a Smooth Recovery

Once the tooth is removed, the dentist places a gauze pad or cotton over the extraction site. The patient is instructed to bite down firmly on the gauze for 30 to 45 minutes, as this pressure helps in stopping the bleeding by promoting the formation of a blood clot at the tooth socket

The Role of Vitamin D in Dental Health

Vitamin D plays a crucial role in maintaining strong teeth and overall dental health. It helps the body absorb calcium, which is essential for the development and maintenance of healthy teeth and bones.

How to Treat and Prevent Oral Sores

Oral sores, like canker sores and cold sores, can be painful and annoying. Treating these sores well involves using over-the-counter creams to ease pain and help them heal faster.

Understanding Dental Treatments for Sleep Apnea

Sleep apnea is a serious sleep disorder where breathing repeatedly stops and starts during sleep. The most common type is obstructive sleep apnea (OSA), which happens when throat muscles relax too much and block the airway

Benefits of regular Gum Care

Regular gum care is essential for maintaining overall oral health and preventing gum disease, which can lead to serious complications if left untreated. Healthy gums are crucial for keeping teeth securely in place and preventing issues such as gum recession and tooth loss.

Benefits of Regular Oral Cancer Screenings

Oral cancer screenings are a crucial component of preventive dental care that can significantly impact overall health outcomes. These screenings help in the early detection of oral cancers, which can improve treatment success rates and survival chances.

How to Maintain a Healthy Smile with Diabetes

Maintaining a healthy smile is especially important for individuals with diabetes, as they are at higher risk for oral health problems such as gum disease and infections

How to Choose the Best Toothbrush for Your Oral Health

Choosing the right toothbrush is fundamental to maintaining optimal oral health. With so many options available, manual, electric, soft, medium, or hard bristle selecting the best toothbrush for your needs can be overwhelming

The Impact of Nutrition on Gum Health

Gum health is a crucial component of overall oral health and nutrition plays a significant role in maintaining healthy gums. Proper nutrition helps support the immune system, reduces inflammation and promotes the healing and repair of gum tissues

The Impact of Sugary Drinks on Dental Health

Sugary drinks, such as soda, juice and sports drinks, can significantly impact dental health. The high sugar content in these beverages provides fuel for harmful bacteria in the mouth, which produce acids that erode tooth enamel

How to Choose the Right Mouthguard

Selecting the right mouthguard is essential for effective protection and comfort. Start by choosing the appropriate type: stock mouthguards are pre-formed and inexpensive but often lack a precise fit.

Understanding the Benefits of Dental Implants

Dental implants offer a durable and natural-looking solution for replacing missing teeth. Unlike traditional dentures or bridges, implants are surgically placed into the jawbone, providing a stable and permanent foundation for artificial teeth

How to Handle Dental Emergencies at Home

Dental emergencies can be stressful and painful, often occurring unexpectedly and requiring immediate attention. While it is crucial to seek professional dental care as soon as possible.

How to Address and Prevent Toothache

Toothaches can be caused by various issues such as cavities, gum disease, or dental trauma. Immediate relief can often be achieved by rinsing the mouth with warm salt water to reduce inflammation and applying a cold compress to the affected area to numb the pain.

The Importance of Early Dental Care for Kids

Early dental care is crucial for establishing a foundation for a child’s lifelong oral health. Scheduling the first dental visit by age one allows for the early detection

Exploring the link Between Oral Health and Kidney Health

Oral health and kidney health are intricately connected, a relationship that underscores the importance of maintaining good oral hygiene not only for your mouth but also for your overall well-being

The Benefits of Custom-Fitted Dental Appliances

Custom-fitted dental appliances have become an integral part of modern dental care, offering numerous benefits over standard, off-the-shelf alternatives. These personalized devices are designed to address a variety of dental issues, from orthodontic correction to sleep apnea management

Managing Oral Health During Pregnancy: Tips for Expecting Mothers

Pregnancy is a time of significant change in a woman’s body and oral health is no exception. Hormonal fluctuations during pregnancy can affect the gums and teeth, making it essential for expecting mothers to pay special attention to their oral health

Evolution of Dental Materials: From Traditional to Modern

The field of dentistry has undergone significant advancements over the decades, particularly in the realm of dental materials. These materials play a crucial role in various dental procedures, from fillings and crowns to orthodontics and cosmetic enhancements.

How to Achieve Optimal Oral Health with Diabetes

Managing oral health is crucial for individuals with diabetes, as they are at higher risk for various oral health problems. Diabetes can impact the body’s ability to heal, increase susceptibility to infections and exacerbate gum disease

Understanding the Benefits of Preventive Dental Care

Preventive dental care is essential for maintaining optimal oral health and preventing a range of dental issues before they become significant problems

What to do when your kid's teeth are broken?

If your child's tooth is broken, it's important to take the appropriate steps to ensure their comfort and dental health.

Myths of Tooth Cleaning

Dentists would recommend getting your regular teeth cleaned every 6 months or once in a year depending on your oral hygiene. Tooth cleaning is also called scaling or oral prophylaxis by dental terminology. But often people are a bit scared to get their teeth cleaned.

Is it safe to visit the dentist during pregnancy?

Yes, it is generally safe to visit the dentist during pregnancy and in fact, it's often recommended for pregnant women to maintain their oral health. Also, let your Gynecologist know that you need to visit a Dentist for so and so reason and get a consent from your Gynecologist.

What is the need of Root Canal Treatment?

Before we jump into the Root canal treatment, let’s understand what is root canal? A “root canal” is not a treatment, but part of a tooth. It is the hollow section of a tooth that contains the nerve tissue, blood vessels and other cells, also known as the pulp.

Facts about Salivary Glands?

Salivary glands are many exocrine glands that secretes salivary substances into the epithelial surface of the oral cavity through salivary duct. If any of the problems involved in salivary glands lead to infection like Sialadenitis & Sialolithiasis.

Dentist inputs on Quit Smoking & Breathe Healthy

We have heard many times that smoking causes cancer. Smoking kills but how. Let's know about the facts about smoking and its harmful causes to our body. Each one cigarette contains nicotine, the main ingredient and more than 5000 compounds of which many are cancerous.

Bleeding gums, bleeding mouth facts

Did you ever focus on your gums while brushing? Did you notice at any time that you felt your gums bleeding? Bleeding gums is an early sign of gum disease. Don't ignore your bleeding gums. Consult your dentist immediately.

Dentist inputs on Diabetes and Oral Health

In diabetes people, due to increased glycaemic state, there will be more glucose and nutrients available for bacteria to keep alive and flourish. And this results in an increase in the bacterial load, as they can live and flourish well.

Why do dentists suggest Clear aligners (invisalign)?

Every patient wants their teeth to be in the proper correct position. In young patients they go for orthodontist braces treatment for the correction of their teeth. Patients demand for esthetic orthodontic appliances as made for clear aligners into mainstream modern orthodontics.

Questions to ask Dentist before Dental Implant

Here are a few important questions you need to remember and ask your dentist before you proceed with your dental implant. Will there be any Discomfort.

Dental Fluorosis: Types, Prevention and Treatments

Dental fluorosis is the hypomineralization of tooth enamel and dentine caused by ingestion of excessive fluoride during enamel and dentine formation. Dental fluorosis may lead to intrinsic staining of tooth structure which leads to discolouration of enamel and dentine.

Benefits of Aloe vera in Oral Health

Aloe vera or aloe barbadensis, is a medicinal plant which is a thick short stemmed plant that stores aloe vera gel in its leaves. It is used topically in most of today's skin diseases,sun burns, hair etc. Topical application of Aloe Vera in lichen planus condition, 3 times a day helps control pain and improves overall oral quality of patients suffering from oral lichen planus.

Is banking dental stem cells important today?

Stem cells are undifferentiated or partially differentiated cells that can differentiate into various types of cells and proliferate indefinitely to produce more of the same stem cell. Stem cells divide to form more cells called daughter cells.

Why Dental Implants?

Advanced dental treatments all over the world led to new advanced solutions for dental problems, one such is Implant. An implant is a medical device manufactured to replace a missing biological structure, support a damaged biological structure, or enhance an existing biological structure.

What are the reasons for yellow teeth?

Teeth are naturally yellowish white in color, but if your teeth look more yellowish then that means your teeth are about to compromise aesthetically. Here are the few reasons mentioned below by which teeth change to yellowish.

Dentist suggestions on tooth cleaning

As we brush our teeth twice a day in such cases as well, do we really need tooth cleaning? And why does the Dentist say to have teeth cleaning in such cases also? Let’s understand what it is actually from a Dentist.

How to keep children's teeth healthy and strong?

Good smiles from kids make us smile more and keep us happy. But how to make your kids' teeth healthy from initial stages. Within this article, I will be sharing a few basic tips to keep your kids teeth healthy and strong.

Your Oral Health is Your Total Health

We Human beings, to live and survive consume food as a basic need. How many of us have thought that food we consume orally is keeping one's dental health in good condition.

Tooth Sensitivity? What to do & What not to do?

Are you afraid of eating any food which is hot or cold or sweet or sour? If yes, then you might be suffering from tooth sensitivity. In this article, we're gonna get dentist advice for, What causes tooth sensitivity.

When do you need to visit a Dentist?

Here are the few major reasons which will tell you when to visit a dentist. If you are facing any such tooth problems, then you need to visit a dentist.

If you lose or remove your teeth, what to do next?

Mostly the teeth will be removed due to deeply caries i.e grossly decayed. In this case Dentist will recommend removing the tooth, if it's not in a position to recover or not in a position to save that particular tooth.

Five things to do daily for a healthy teeth

Teeth are something which are needed to have food daily, they help for us to chew the food, so that we can have our food. We need to make sure our teeth are healthy and to this has to be taken care by ourselves.

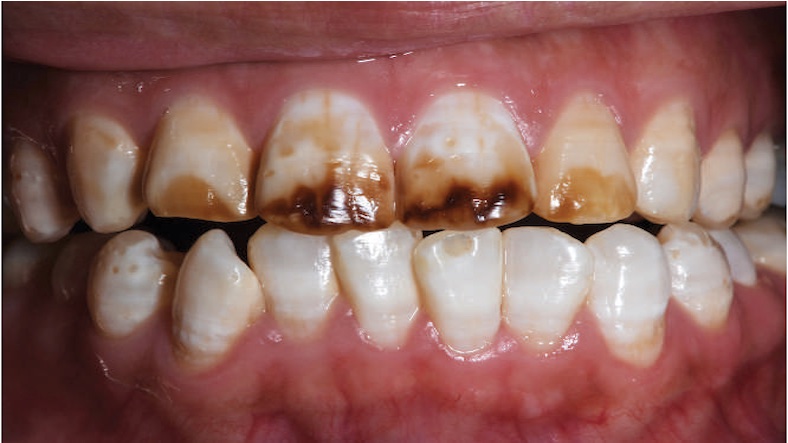
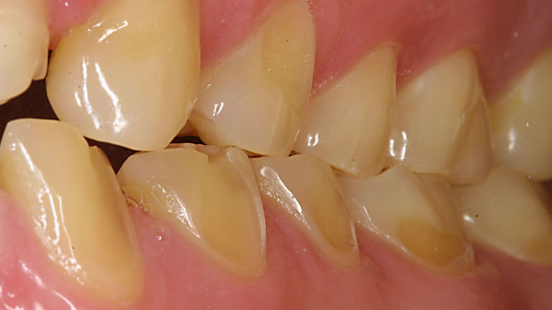
Have you observed Dental Erosion in your Teeth?

Dental Erosion is something, when the removal of enamel layer and exposure of dentin layer present in the tooth. Dental Erosion is caused while there is an increase in the intake of the citrus fruit juices (like orange, lemon), sour candies and swishing acidic beverages.

What to do with dark cavities on teeth?

By following these tips you can overcome the dark cavities at the initial stages, in case you are already having the dark cavities, you need to visit a doctor.

Healthy diet to keep your teeth healthy

By having these vitamins, calcium, fluoride & phosphorus in your regular diet, you can make sure your oral health is at its best & healthy.

Have you noticed Tongue Tie in children?

A lingual frenum which is a band of connective tissues that connects the tongue to the floor of the mouth. In some children, lingual frenum is too short which is restricting the tongue movement and impairing the child’s oral development.

We Need Your Consent x
By clicking “Accept Cookies”, you agree to the storing of cookies on your device to enhance your site navigation experience.
I Accept Cookies